ANTES Y DESPUÉS

PROCEDIMIENTO
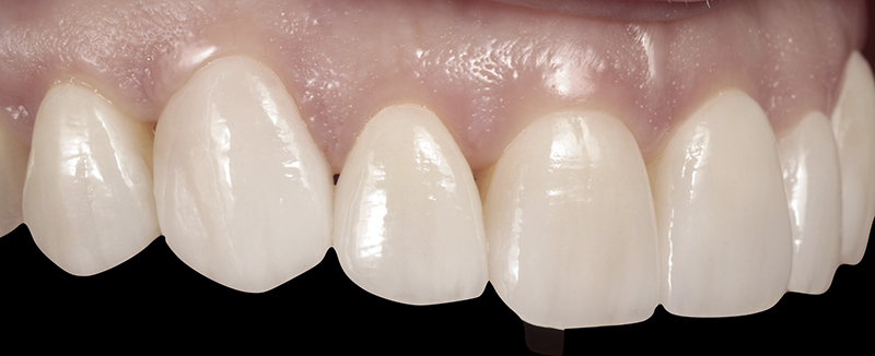
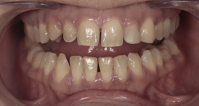
SITUACIÓN DE PARTIDA
Paciente de edad media, después de un tratamiento de ortodoncia, refiere querer una sonrisa perfecta.
DETALLES DEL TRATAMIENTO
La sonrisa que nace desde dentro no se aprende, se recuerda.
Es pura, espontánea, como una flor que se abre sin esfuerzo.
Confiar es vivir sin miedo, y una sonrisa genuina es eso: un acto de entrega, de naturalidad elegante, de presencia sin pretensión.
Aparentemente el resultado de la ortodoncia es correcto, pero a veces, el tratamiento ortodóntico tiene una limitación que es la forma, tamaño y color de los dientes originales.
La motivación final de este caso ha sido fundamentalmente la armonización de la sonrisa. Se ha optado por un tratamiento estético-funcional conservador a través de carillas de alta naturalidad mediante micropreparaciones. Empleando el método aditivo con “carillas de porcelana” de mínimo espesor se ha favorecido la relación (contacto oclusal) entre el maxilar y la mandíbula.
DATOS TÉCNICOS
Paciente: L.S.G
Fecha de Intervención: Febrero 2021
Material utilizado: Mediante técnica aditiva, en la arcada superior se ha colocado Carillas Estratificadas de Disilicato de Litio


