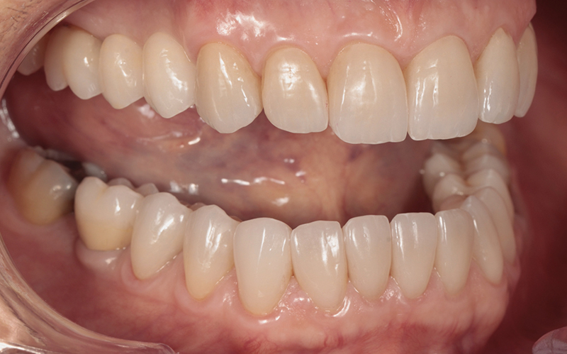
ANTES Y DESPUÉS

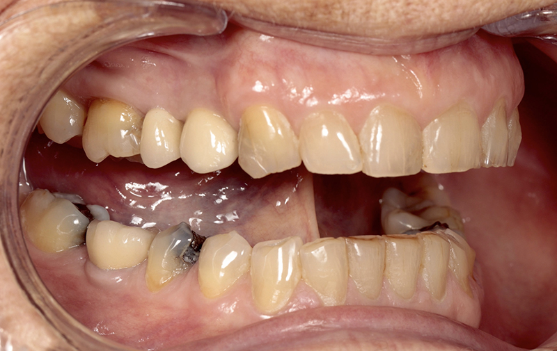
PROCEDIMIENTO
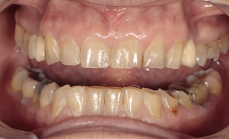
SITUACIÓN DE PARTIDA
Paciente de edad avanzada, presenta un deterioro importante de los dientes con un fuerte desgaste por un proceso de desgaste y erosión.
DETALLES DEL TRATAMIENTO
Una sonrisa bella no grita, no presume. Simplemente está. Como el sol que asoma tras la niebla, firme pero suave, anuncia sin palabras que todo está bien.
Es el reflejo de quien confía sin razones, de quien ya no duda de su luz. En ella hay seguridad serena, ánimo que no empuja, sino invita.
Una sonrisa así no se ensaya, se revela. Es la certeza silenciosa de que la vida, a pesar de todo,
merece ser vivida con belleza.
El paso del tiempo genera como resultado un desgaste progresivo de la estructura del diente, cursando con una perdida de la dimensión vertical. Además, si esta presente una situación “EROSIVA” dentro de la boca, este proceso de desgaste dental se acelera de manera continua perdiendo incluso toda le estructura del esmalte en algunas zonas del diente y generando esa sensación de sonrisa envejecida.
DATOS TÉCNICOS
Paciente: MT.T.Z.
Fecha de Intervención: SEPTIEMBRE 2022
Material utilizado: Mediante técnica aditiva y dentro de un marco funcional, en la arcada superior e inferior se han colocado Carillas Estratificadas de alta naturalidad y Overlays de disilicato de litio.


