ANTES Y DESPUÉS

PROCEDIMIENTO
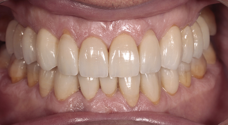
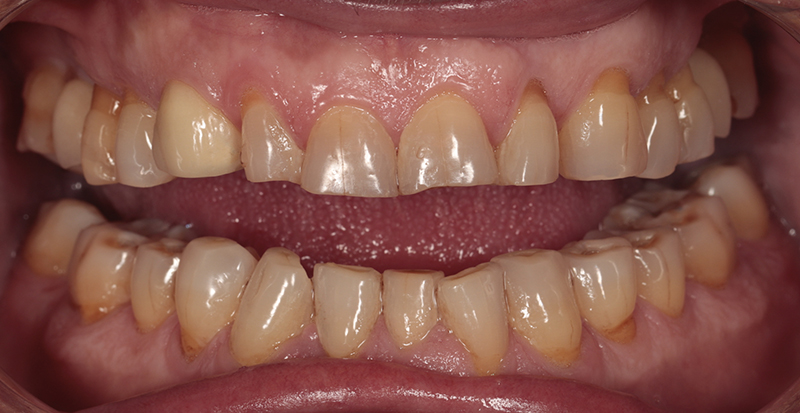
SITUACIÓN DE PARTIDA
Paciente de edad media, presenta una relación anómala con fuerte desgaste del sector anterior de la boca.
DETALLES DEL TRATAMIENTO
Hay sonrisas que no buscan aplausos, solo transmitir la verdad con cariño.
No esconden nada, no fingen nada. Son frescas, como el aire limpio de la montaña,
honestas, como la mirada de quien no teme mostrarse.
Una sonrisa así no se fuerza, aparece cuando el alma se siente en casa.
Es la forma más simple de decir: "Estoy aquí, y estoy bien siendo quien soy.
Planificar una rehabilitación completa de la boca en poco tiempo puede ser un verdadero desafío, sobre todo cuando la agenda del paciente es limitada. Pero con un análisis detallado y un enfoque personalizado, es posible lograr una transformación significativa en solo seis citas. Actuar a tiempo marca la diferencia, ya que dejar la situación sin tratar podría llevar a un desgaste avanzado y un deterioro progresivo de la salud bucal.
DATOS TÉCNICOS
Paciente: J.G.M
Fecha de Intervención: JUNIO 2023
Material utilizado: Mediante técnica aditiva y dentro de un marco funcional, en la arcada superior e inferior se han colocado Carillas Estratificadas de alta resistencia y Overlays en material disilicato de litio. Además, se han rehecho antiguas coronas sobre implante para mejorar su aspecto y función.

